
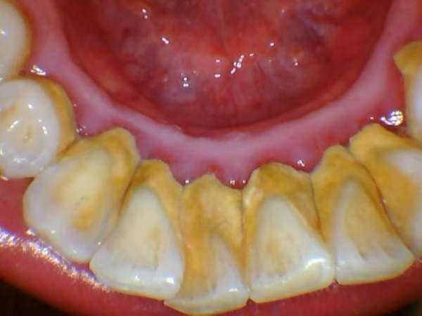
說道這個牙結石,小編就很苦惱啦。小編在平常刷牙的時候總是牙齦出血,牙刷剛換的新的,刷牙一流血牙刷上就染上了血。最可笑的是有一回吃過中午飯,我總感覺下牙不得勁,張嘴一看牙縫裡掉下了一塊牙結石,黃黃的硬硬的,現在掉下牙結石的位置又被填充上了新的牙結石,很是苦惱!下面就來交下大家怎樣巧妙的去掉討人厭的牙結石,一起來學習一下吧!

牙結石凡是存在於唾液腺啟齒處的牙齒外表(比方:下顎前牙的舌側外表,上顎后牙的頰側外表)和牙齒的頸部,還有口腔粘膜活動不到的牙齒外表等處。牙結石開始時是軟軟的,會因逐步的鈣化而變硬。它是由75%的磷酸鈣,15-25%的水、有機物、磷酸錳、礦酸鈣及微量的鉀、鈉、鐵所組成。並呈現出黃色、棕色、或許玄色。

牙結石的醫治辦法有哪些?
1、刷牙

早晚刷牙、飯後漱口是防治牙石組成的最重要辦法。使用保健牙刷,選用含氟牙膏,正確的刷牙方法,豎刷法實行刷牙,改正橫刷法。這麼不僅可肅清食品殘渣、牙面菌斑、牙垢污物,避免牙結石的組成和堆積,並且還能起到推拿牙齦,增進血液旋轉,加強牙周布置的抗病才能的影響。
2、飲食
公道滋補,粗細搭配。多吃富有維生素的粗纖維食品,如肉、蛋、各類蔬菜和生果,充沛品味以利於牙面乾淨。少吃甜食及粘性很強的食品,不吃零食。

3、食醋去牙垢
陳醋、白醋都可以。將一勺醋含在嘴裡1分鐘到3分鐘,然後吐掉,刷牙。用這類辦法后,牙齒會以為非常酸、麻,會持續2分鐘附近,並且不能經常使用,大約2個月做一次就好了。否則對牙齒不好。

4、紅糖刷牙法
紅糖,淡鹽水。先將紅糖放進口中,含15分鐘支配,使全口的牙齒都浸泡在糖液中,再用較堅固的牙刷反覆刷2~3分鐘,然後用淡鹽水刷牙1~2分鐘,逐日早晚各1次。這個辦法稍微複雜,但保持使用一周,牙垢明顯的少了不少。
